Have you been thinking about getting some dental work done, but you are hesitating on setting your appointment? Take a look at the pictures below and see the difference Dr. Johnson and our dental team can make for your smile! Do not wait any longer to get the smile of your dreams. Boost your confidence and start living a healthier, happier life today!
Steve had severely worn his teeth down from grinding. He suffered headaches as well from it. With a full mouth reconstruction Dr. Gregory was able to not only create a beautiful smile but also build a more comfortable bite, improving his grinding and headache pain.
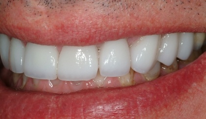
Allene was unhappy with the alignment, shape, and white spots on her teeth. With 10 porcelain veneers Dr. Gregory created a perfect smile for her.
Carolyn had aged dentistry that was making her look older than she felt. Using porcelain veneers and crowns, Dr. Gregory was able to not only improve the quality of her dental restorations, but also a more beautiful and brighter smile.
After orthodontics to reposition teeth, and implants to replace some missing teeth, Dr. Gregory used porcelain veneers and crowns to give Gail the smile of her dreams. Not only can she chew better, but now her new smile makes her look years younger!
Grace was unhappy with old bonding between teeth that had spaces between them. Dr. Gregory removed that old bonding, and with 10 porcelain veneers gave her a perfect smile that was brighter and more aesthetically pleasing.
Jan was unhappy with her older veneers that had been done years ago. Using the modern porcelain materials available today that are extremely strong and durable, Dr. Gregory created a smile that makes Jan look younger by years!
Joanne had worn, yellow and misaligned teeth. With a porcelain veneers and crowns Dr. Gregory was able to not only create a more youthful and whiter smile, but also improved her facial aesthetics overall.
Worn down, yellow, and chipped teeth in the front and lots of black fillings in the back made Linda’s smile look older than she felt. Using all porcelain restorations, veneers in the smile zone and crowns in the back, Dr. Gregory was able to transform Linda’s smile into a comfortable, gorgeous reflection of her inner spirit.
Rebecca was missing some teeth genetically and others were small. After orthodontic treatment and the placement of implants, her teeth were restored with porcelain veneers and crowns to provide a beautiful smile for this beautiful young lady.
Sherri had older restorations, a collapsed arch form on the lower arch, chips on the front teeth, and worn teeth. Dr. Gregory used porcelain veneers and crowns to restore her teeth and create a beautiful smile.
Allen had older restorations on his front teeth. Spaces had started to develop and he was unhappy with his smile. Using 10 porcelain veneers on his upper arch Dr. Gregory closed the spaces between his teeth, whitened his smile, and gave him back his confident smile.
Maggie desired a brighter, whiter, and straighter smile. Using 10 porcelain veneers on the upper arch and 10 on the lower, Dr. Gregory designed a smile that helps Maggie smile freely and confidently.
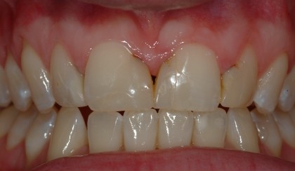
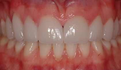
Stan had older metal based crowns on his front teeth as well as some older composite veneers that had aged. In the back he had older silver fillings and crowns. Using modern porcelain veneers and crowns, Dr. Gregory designed a smile that was perfect for his face and that looks gorgeous and natural.
Bronwen desired a more sophisticated smile to reflect her professional position. With 10 porcelain veneers, Dr. Gregory was able to brighten her smile, straighten the teeth, and create a more symmetrical smile. A gorgeous transformation and she was thrilled!