Smile Makeovers Gallery – Mount Pleasant, SC
The Results You Can Expect
All of our dental patients have a unique story, which is why we never treat two smiles the same. We come up with a custom dentistry treatment plan that works best for you and your smile. Click through the pictures below to see the difference Dr. Johnson and our dental team have made for some of our dentistry patients and envision what we can do for your smile!
About Us Meet the Dentists Meet the Team Tour Our Dental Office Before & After Gallery News & Media Dental Technology View Our Services
Full Face Before
Full Face After
Joanne’s Story:
Joanne has never been happy with her smile. She did not feel like her chipped, colored teeth reflected her true personality. And to top it off, she had a lot of old, unsightly dental work. With a full mouth rehabilitation, we improved the aesthetics of Joanne's smile while also correcting her misaligned bite. Joanne was thrilled with the results! As she said, it made her look and feel 10 years younger!
Full Face Before
Full Face After
Steve’s Story:
Steve cannot stop smiling after his dramatic makeover! Before, he was dealing with severe wear on his teeth, and he also suffered from chronic head and neck pain due to his teeth grinding and clenching. Steve needed full mouth dental rehabilitation. Using a neuromuscular approach to improve his bite, all of Steve's teeth were restored with aesthetic porcelain restorations. And the total treatment time? Just two visits. Amazing results!
Full Face Before
Full Face After
Rebecca’s Story:
Rebecca had a misaligned bite and was also suffering from multiple missing teeth before visiting our dental office. After orthodontic care and the placement of dental implants, we completed a full mouth rehabilitation to replace teeth, improve aesthetics, and restore a comfortable bite. Now Rebecca cannot stop smiling!
Full Face Before
Full Face After
Jan’s Story:
At the age of 72, Jan had a mouthful of older porcelain restorations that had been repeatedly chipped and patched up again. Unfortunately, crowns with metal underneath tend to look unnatural - sometimes too bright, and sometimes showing dark lines at the gums. We restored the entire upper arch with all-porcelain restorations, eliminating the dark gumlines, brightening her smile, and helping Jan look much younger.
Full Face Before
Full Face After
Grace’s Story:
Several years ago, Grace had the small gaps in her teeth closed with composite bonding. It looked great at first, but the truth is that with time, all bonding starts to stain. Bonding is also rough at the gumline, which can lead to gum disease. After a while, Grace's two front teeth just looked too big in her smile! Placing porcelain veneers on her upper eight teeth allowed us to close the gaps, correct the size of the upper teeth, improve her gum health, and help Grace smile confidently. Now, look at those dazzling teeth and healthy gums!
Full Face Before
Full Face After
Gail’s Story:
Like many older adults, Gail’s teeth had severely shifted over time. We wanted to do a smile makeover, but she needed orthodontic treatment, first. She also had two implants put into place to restore some missing molars. Because of the need to restore a comfortable and stable bite, we performed her full mouth rehabilitation using a neuromuscular approach with porcelain restorations on each tooth. It sounds complicated, but it is how we designed Gail’s new, gorgeous teeth. She is now enjoying full smile confidence!
Full Face Before
Full Face After
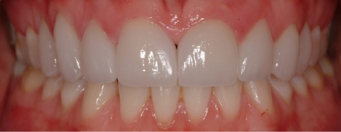
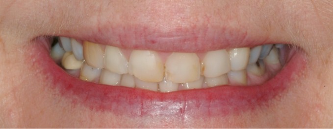
Allan’s Story:
Allan loved his porcelain veneers at first; however, he eventually realized they were poorly shaped and just too thick. And it did not help that the porcelain had lost its luster over time, and some slight shifting had created gaps between his teeth. To fix Allan’s smile issues, Dr. Gregory removed the old veneers and replaced them with brighter veneers that were shaped just for his smile. The final result? A huge improvement. Here are close-up photos of his smile.
Full Face Before
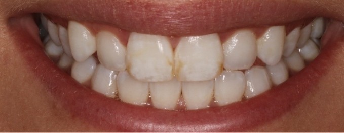
Full Face AfterAngel’s Story:
Angel had always been bothered by her small, unevenly spaced teeth. Previous attempts at closing those small gaps with composite bonding were, unfortunately, unsuccessful. The bonding ended up getting chipped and stained, and it snagged her dental floss, too. When Dr. Gregory placed porcelain veneers, those gaps were closed, and her teeth fit just right with her facial structure. Now, Angel looks better than ever!
Full Face Before
Full Face After
Linda’s Story:
Linda was concerned with her worn and yellow teeth. She had lots of old silver fillings, metal crowns, and her teeth had shifted and become crooked with time. With a full mouth rehabilitation using neuromuscular principles, we improved the aesthetics of her smile and the comfort of her bite. Not only does she look 10 years younger, but she has enjoyed this smile makeover for 12 years now with only regular cleanings and checkups needed since then!
Full Face Before
Full Face After
Allene’s Story:
Allene was unhappy with her smile. She did not like the dark and white spots on her front teeth or the alignment of her upper arch. Using porcelain veneers, Dr. Gregory designed a gorgeous, sophisticated smile to match Allene’s personality and enhance her natural beauty. She is so confident now and loves her smile!
